Metamorfozy uśmiechu
Metamorfozy uśmiechu przynoszą spektakularne efekty. Z brzydkiego kaczątka uśmiechu przeradzają w pięknego łabędzia.
Metamorfozy uśmiechu mogą w szybki i efektywny sposób zlikwidować wszystkie problemy estetyki związanej z uzębieniem. Jak wiadomo, ładne zęby powodują, że chętniej tego uśmiechu używamy. Jak wygląda metamorfoza uśmiechu? Jakie mamy zabiegi do dyspozycji?
Metamorfoza uśmiechu
Metamorfoza stomatologiczna jest przemianą spektakularną. Niby tak niewiele, bo przecież tylko zmieniamy zęby. Zmieniamy uzębienie, które nawet przecież nie rzucają się w oczy od razu. Jednak to, jak bardzo metamorfoza stomatologiczna zmienia samych pacjentów, jest jej największym sukcesem. Nagle z osoby wycofanej, niechętnie się uśmiechającej mamy kogoś radosnego z nieskrępowanym uśmiechem na twarzy.
Metamorfoza uśmiechu
Metamorfoza uśmiechu. Z czym to się je? Jak przebiega? Dla kogo metamorfoza uśmiechu będzie odpowiednia? Odpowiemy tu na wszystkie pytania związane ze zmianą estetyki uśmiechu.
Metamorfozy w naszym obecnym świecie są coraz częstsze. Coraz więcej ludzi zwraca uwagę na wygląd. Przechodzimy metamorfozy u fryzjerów czy stylistów. Przechodzimy metamorfozy we współpracy z dietetykiem czy trenerem. Metamorfozom poddajemy swoje domy, ogrody. Każda zmiana na lepsze cieszy nas i powoduję, że jesteśmy dumni z siebie.
Dlaczego więc zaniedbać sferę związaną z uzębieniem. Ładne zęby są atutem. Promienny, biały i zdrowy uśmiech daje nam sporo plusów. Chętniej się uśmiechamy. Nie zasłaniamy ze wstydem ust. Ludzie nas lepiej postrzegają. Tak właśnie działają metamorfozy uśmiechu. Taka mała zmiana, jak kształt czy kolor zębów daje naprawdę sporo.
Metamorfoza uśmiechu Gliwice
W Centrum Stomatologii Rodzinnej Family Smile chcemy spełniać Wasze marzenia o pięknym uśmiechu. Dlatego też wprowadziliśmy szereg różnych zabiegów, które to umożliwią. Dla każdego pacjenta metamorfoza uśmiechu projektowana i przeprowadzana jest indywidualnie.
Czym dysponujemy, by zapewnić naszym pacjentom ładne, białe i równe zęby?
- Wybielanie zębów jednowizytowe. 
- Flow injection. 
- Bonding. 
- Licówki i korony porcelanowe. 
Każda z tych metod jest inna. Każda ma trochę inny cel. Czasem trzeba je połączyć, czasem wybrać najbardziej odpowiednią. W tym właśnie celu przeprowadzamy zawsze konsultację przed metamorfozą uśmiechu.
Zapraszamy więc serdecznie do Family Smile Gliwice.
Zdrowe i białe zęby
Zdrowe i białe zęby są marzeniem wielu z nas. Mało kto ma je ot tak. Trzeba dbać o zęby, regularnie korzystać z pomocy stomatologa, systematycznie leczyć każdy ubytek. To pozwala zachować zęby w zdrowiu. Co jednak z ich kształtem i kolorem? Jak sprawić, by "Hollywood smile" zagościł i u nas?
Licówki, korony, wybielanie, aparaty ortodontyczne. To wszystko pomocne zabiegi w uzyskaniu białych i równych zębów. Jednak każdy z nich, by uzyskać pożądane efekty, wymaga albo inwazyjnych zabiegów albo wielu miesięcy pracy.
W Family Smile Gliwice stawiamy na małoinwazyjne zabiegi skuteczne w uzyskaniu pięknego uśmiechu.
Ich efekty widoczne są już po pierwszej wizycie i nie wymagają dużej ingerencji stomatologicznej. Oczywiście każdy z tych zabiegów wykonujemy na zębach zdrowych lub wcześniej wyleczonych.
Stomatologia estetyczna w metamorfozach uśmiechu
Stomatologia estetyczna ma duży udział w metamorfozach uśmiechu. Leczenie zębów to jedno. Drugie to ich późniejsza estetyka. To trochę tak, jak z medycyną estetyczną. Jest, można z niej skorzystać, daje świetne rezultaty. Stomatologia estetyczna podobnie. Pomaga w spektakularny sposób zmienić jakość uśmiechu. Możemy zmienić wielkość zębów, ich kształt czy kolor. Już nie musisz innym zazdrościć pięknych zębów. Możemy Ci pomóc zrealizować te marzenia.
W tym artykule skupimy się na zabiegach stomatologii estetycznej, które nie wymagają dużej inwazji w strukturę zębów.
- Flow injection. 
- Bonding. 
Te dwa zabiegi z zakresu stomatologii estetycznej są świetnym pomysłem na piękne i białe zęby. Czym jest flow injection i bonding? Kiedy i w jakich przypadkach warto rozważyć te zabiegi?
Metamorfoza uśmiechu czyli nowy rozdział w Twoim życiu
W FamilySmile wiemy, że piękny uśmiech to nie tylko kwestia estetyki, ale przede wszystkim źródło pewności siebie i radości z codziennych chwil. Dlatego oferujemy kompleksowe metamorfozy uśmiechu, które łączą tradycyjne podejście do stomatologii z nowoczesnymi technologiami. Nasze zabiegi, takie jak wybielanie zębów, licówki czy korony i mosty, są dostosowane do indywidualnych potrzeb każdego pacjenta, aby efekt końcowy był nie tylko spektakularny, ale i trwały. Cały czas szkolimy się z nowych technik i metod, by metamorfozy uśmiechu u naszych pacjentów były spektakularne.
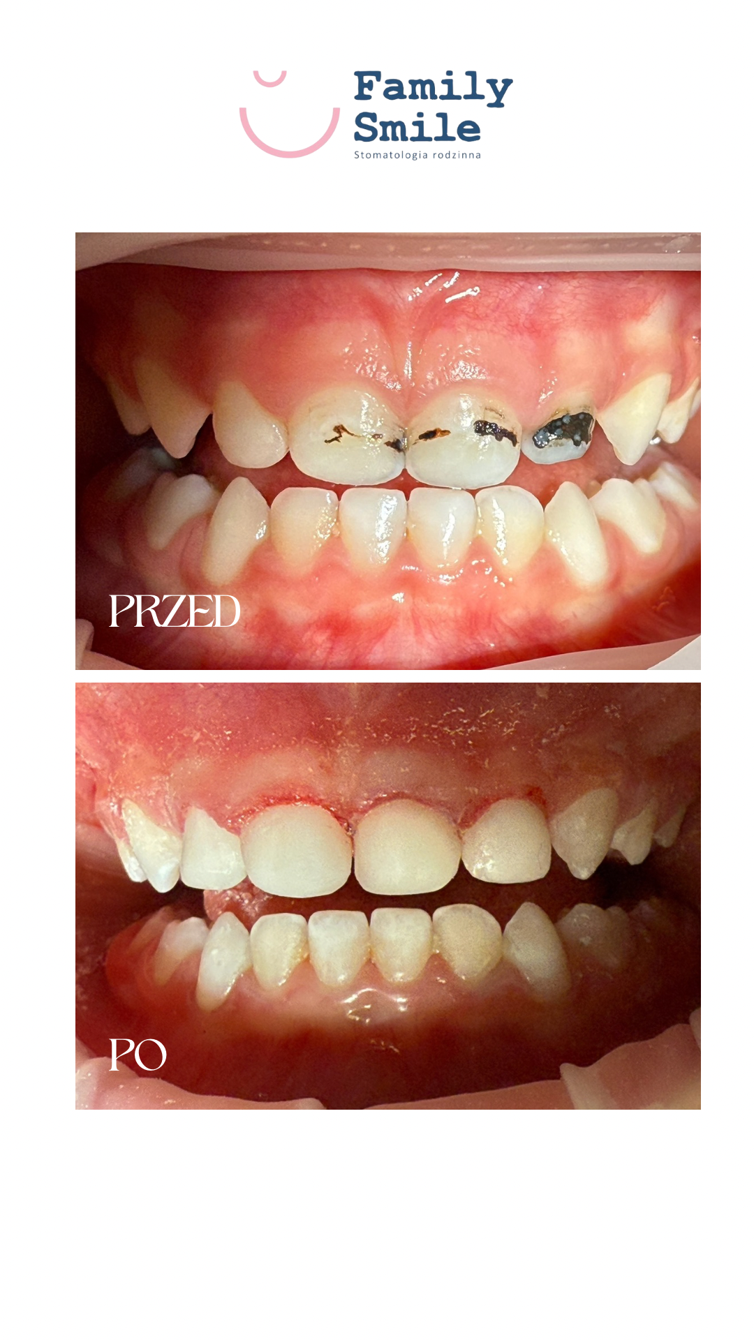
Flow injection
Flow injection to jedna z metod używanych w stomatologii estetycznej. Dzięki niej możemy zmienić kształt i kolor zębów. W dodatku na jednej wizycie i przy pełnym współudziale pacjenta. Flow injection jest metodą metamorfozy uśmiechu w sposób przewidywalny, precyzyjny i nieinwazyjny.
Flow injection jest mniej trwałą metodą niż tradycyjne licówki. Na plus tego zabiegu można jednak zapisać małą ingerencję w struktury zębów, gdyż nie wymaga on ich szlifowania. Flow injection pozwala też na zmianę kształtu i koloru całości zębów, a nie tylko ich licowych fragmentów. Jest też zabiegiem zupełnie bezbolesnym.
Co to jest flow injection
Flow injection to metamorfoza uśmiechu metodą "jednego dnia". Jest to zabieg odbudowy zębów materiałami kompozytowymi. Dzięki temu możemy zmienić zarówno kształt, jak i kolor zębów. Pozwala to na szybki, precyzyjny i spektakularny efekt zmiany uśmiechu.
Jak wygląda zabieg techniką flow injection
Pierwszym krokiem do przeprowadzenia zabiegu flow injection jest skan wewnątrzustny. Dzięki temu w bardzo precyzyjny sposób odwzorowujemy anatomię zębów pacjenta. Dodając to tego zdjęcia możemy wraz z pacjentem zaprojektować jego uśmiech.
Przede wszystkim w flow injection bazujemy tu na stworzeniu mock-up. Czym jest mock-up? To wstępny projekt, swoista atrapa, która służyć będzie do wykonania ostatecznej wersji uzębienia. Dzięki takiej wersji roboczej możemy na bieżąco wprowadzać zmiany, by uzyskać pożądany efekt. Projekt pracy wykonany jest z kompozytu technicznego. Możemy realnie przymierzyć go w ustach pacjenta i to na nim wprowadzamy potrzebne zmiany.
Po zaakceptowaniu projektu zęby zostają bardzo dokładnie oczyszczone. To ważny krok, by zabieg był trwały i skuteczny. Dzięki niemu uzyskujemy silne połączenie pomiędzy powierzchnią zęba, a materiałem kompozytowym.
Trwałość flow injection
Efekty zabiegu flow injection są trochę mniej trwałe niż klasyczne licówki. Można jednak przedłużyć żywotność i estetykę materiału kompozytowego. w tym celu zapraszamy na tzw. polerowanie zębów. Wykonywane 2 razy w roku dodaje zębom blasku i przedłuża estetykę pracy.
Flow injection jest metamorfozą, na którą pacjent ma pełny wpływ.
Bonding
Bonding to kolejna z metod wykorzystywanych w stomatologii estetycznej. Zwany jest remodelingiem lub licówkami kompozytowymi bezpośrednimi. Dlatego też jest często wykorzystywaną, tańszą alternatywą dla klasycznych porcelanowych licówek.
Bonding wykonuje się na jednej wizycie.
Bonding zmienia kształt i kolor zęba.
Zalety metamorfozy uśmiechu metodą bondingu
Jak już wspominaliśmy, bonding to szybka jednowizytowa możliwość metamorfozy uśmiechu. To niewątpliwa zaleta tego zabiegu. Jakie jeszcze są plusy bondingu?
- Szybki efekt wizualny. 
- Brak ingerencji w naturalną strukturę zęba. 
- Bezbolesny, nie wymaga nawet znieczulenia miejscowego. 
- Tańsza alternatywa dla licówek czy koron. 
- Możliwości korekcji wielkości i kształtu zębów. 
- Możliwości zamknięcia szpary między zębami. 
- Daje efekt trwałego wybielania. 
Przy zastosowaniu się do zaleceń lekarza i po dobrym wybraniu kompozytu NIE ma możliwości ZMIANY JEGO KOLORU. Chyba że pacjent nieodpowiednio myje zęby, bądź nie oczyszcza zębów z kamienia, osadu i płytki nazębnej.
Minusy bondingu
Jak każdy zabieg, bonding też ma swoje minusy. Jest jednak możliwością, którą dajemy naszym pacjentom dla uzyskania pięknego uśmiechu. Jakie minusy metody bonding mogą zaważyć na Waszej decyzji?
Minusem jest przede wszystkim mniejsza trwałość niż licówki czy korony. Materiał utrzymuje się na zębach, jak mniej więcej wypełnienia. Wiele tu oczywiście zależy od codziennej higieny i wizyt tzw. serwisowych. Wady zgryzu też mogą mieć wpływ na trwałość zabiegu. Podobnie jak niewłaściwe nawyki jak np. zgrzytanie zębami czy ich zaciskanie. Powodują one szybsze uszczerbki w powierzchni materiałów. 
Bonding jest także mniej estetyczny niż odbudowa porcelanowa. Na rynku pojawiają się jednak coraz bardziej nowoczesne materiały wykorzystywane do tego zabiegu. Dają one coraz lepsze efekty estetyczne, zwiększają tzw. polerowalność i naturalność odbudowy. Trwałość materiałów również jest coraz większa.
Przemiana Twojego uśmiechu zaczyna się tutaj
Rozumiemy, że decyzja o metamorfozie uśmiechu to ważny krok. Dlatego w FamilySmile stawiamy na otwartą komunikację i pełne zrozumienie oczekiwań naszych pacjentów. Podczas pierwszej konsultacji dokładnie omawiamy dostępne opcje i wspólnie planujemy cały proces przemiany. Naszym celem jest nie tylko poprawa wyglądu zębów, ale przede wszystkim przywrócenie komfortu i naturalnej radości z uśmiechu. Zaufaj doświadczeniu i pasji naszego zespołu. Razem stworzymy uśmiech, który będzie Twoją wizytówką na lata.
Stomatologiczna metamorfoza uśmiechu
Stomatologiczna metamorfoza uśmiechu to kompleksowa poprawa wyglądu zębów i dziąseł, mająca na celu uzyskanie estetycznego, harmonijnego uśmiechu. To nie tylko kwestia kosmetyczna – często poprawa wyglądu idzie w parze z poprawą funkcji zgryzu i zdrowia jamy ustnej.
- Chcesz poprawić estetykę zębów (przebarwienia, nierówności, asymetria)? 
- Chcesz pozbyć się kompleksów związanych z uśmiechem? 
- Chcesz odzyskać pełne uzębienie i poprawić funkcję gryzienia? 
- Chcesz odmłodzić swój wygląd – zdrowy, biały uśmiech odejmuje lat? 
W takim razie to rozwiązanie jest dla Ciebie!
Nieinwazyjna metamorfoza uśmiechu Gliwice
Uważacie, że Wasz uśmiech, a przede wszystkim zęby nie są idealne? Nie chcecie czekać długo na oszałamiający i kosztowny rezultat leczenia? Metody bez szlifowania będą idealnym rozwiązaniem. Takie właśnie nieinwazyjne metody metamorfozy uśmiechu oferujemy naszym pacjentom.
Nieestetyczne przerwy między zębami? Niekorzystny kształt i kolor zębów? Z tymi problemami poradzi sobie odbudowa kompozytowa. To też doskonałe rozwiązanie, by uzyskać lśniący i piękny uśmiech w szybki sposób.
Szukasz sposobu na metamorfozę uśmiechu w Gliwicach? Chcesz w nieinwazyjny sposób poprawić swój uśmiech? Zapraszamy do Family Smile.
 
                         
            